Last van Teruggetrokken Tandvlees of Gevoelige Tandhalzen?
Merkt u dat uw tandvlees zich terugtrekt en uw tanden langer lijken? Ervaart u pijn of gevoeligheid bij het eten of drinken van koude of warme producten? Dit kan wijzen op recessie, ook wel teruggetrokken tandvlees genoemd. Bij Paro Haarlem, uw parodontoloog en specialist in tandvleesbehandelingen in Haarlem, begrijpen we hoe vervelend dit kan zijn. Gelukkig zijn er effectieve behandelingen mogelijk om de recessie te corrigeren, blootliggende tandhalzen te bedekken en uw comfort en glimlach te herstellen.
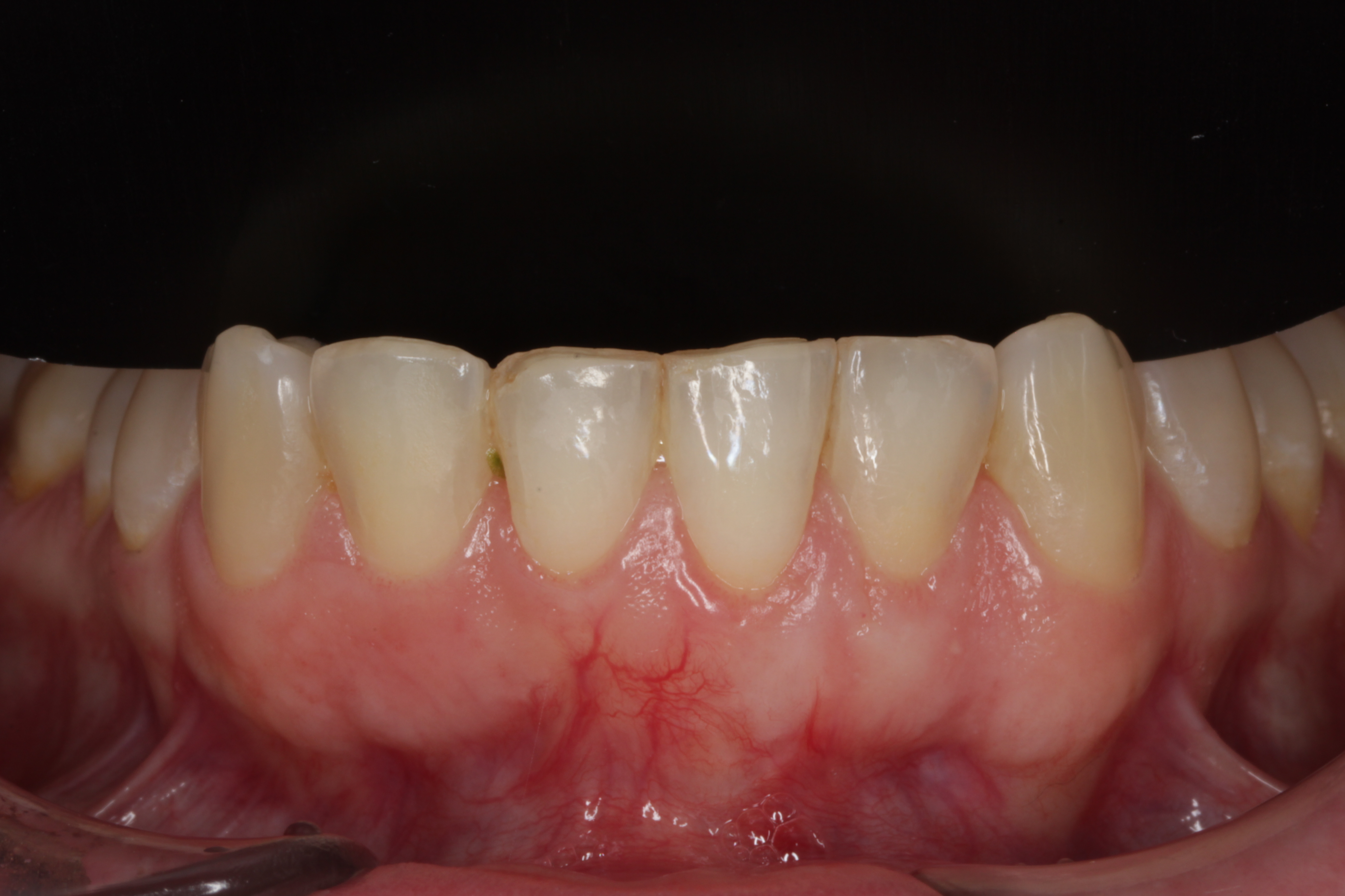
Wat is Tandvlees Recessie Precies?
Recessie is het proces waarbij het tandvlees zich terugtrekt van het tandoppervlak, waardoor de tandwortel (deels) bloot komt te liggen. Dit resulteert in blootliggende tandhalzen. Omdat tandwortels niet bedekt zijn met hard glazuur zoals de tandkroon, zijn ze veel gevoeliger voor externe prikkels zoals temperatuurverschillen, aanraking en zuren. Bovendien zijn ze vatbaarder voor slijtage en wortelcariës (gaatjes in de wortel).
Oorzaken van Teruggetrokken Tandvlees (Recessie)
Teruggetrokken tandvlees kan diverse oorzaken hebben:
- Poetstechniek: Te hard poetsen of poetsen met een te harde tandenborstel kan het tandvlees beschadigen en terugtrekken veroorzaken.
- Parodontitis: Ontsteking van het tandvlees en het onderliggende kaakbot (parodontitis) is een veelvoorkomende oorzaak van weefselverlies en recessie.
- Orthodontie: Soms kan een beugelbehandeling bijdragen aan het ontstaan van recessie.
- Anatomische factoren: Een dun tandvleestype ('dun biotype') of een afwijkende stand van tanden kan iemand gevoeliger maken voor recessie.
- Piercings: Lip- of tongpiercings kunnen door constante wrijving teruggetrokken tandvlees veroorzaken.
- Tandenknarsen (Bruxisme): Overmatige krachten op de tanden kunnen bijdragen aan tandvleesproblemen.
- Genetische aanleg.
Gevolgen en Symptomen van Recessie
De meest voorkomende klachten bij teruggetrokken tandvlees zijn:
- Gevoelige tanden/tandhalzen: Pijn of een scherpe pijnscheut bij koud, warm, zoet, zuur of aanraking.
- Esthetische bezwaren: Tanden lijken langer, wat als ontsierend kan worden ervaren. Soms ontstaan donkere randjes of kiertjes.
- Verhoogd risico op wortelcariës: Blootliggende wortels zijn kwetsbaarder voor gaatjes.
- Slijtage van de tandwortel (poetsdefecten).
(H2) Behandeling van Recessie bij Paro Haarlem: De Tandvleescorrectie
Gelukkig hoeft u niet met teruggetrokken tandvlees en de bijbehorende klachten te blijven lopen. Bij Paro Haarlem bieden we specialistische behandelingen om recessie te corrigeren. De meest effectieve methode is vaak een tandvleescorrectie, ook wel een tandvleestransplantatie genoemd.
- Diagnose en Consult: De eerste stap is een grondig onderzoek door onze parodontoloog in Haarlem. We beoordelen de ernst van de recessie, de oorzaak, uw mondhygiëne en algemene gezondheid. Samen met u bespreken we de mogelijkheden en stellen we een persoonlijk behandelplan op.
- De Behandeling (Tandvleestransplantatie):
- Doel: Het doel is om de blootliggende tandhals weer te bedekken met gezond tandvlees.
- Methode: Vaak wordt een klein stukje weefsel (transplantaat) van uw eigen verhemelte gebruikt. Dit wordt zorgvuldig geplaatst op de plek waar het tandvlees is teruggetrokken. Er bestaan verschillende technieken (o.a. vrij bindweefseltransplantaat, gesteeld transplantaat) die de parodontoloog kiest op basis van uw specifieke situatie.
- Verdoving: De behandeling vindt plaats onder lokale verdoving en is daardoor pijnloos.
- Resultaat: Na genezing is de tandhals weer bedekt, wat leidt tot verminderde gevoeligheid en een verbeterde esthetiek.
(H2) Voordelen van een Recessie Behandeling (Tandvleescorrectie)
Een behandeling voor teruggetrokken tandvlees bij Paro Haarlem biedt meerdere voordelen:
- Vermindering of Verdwijnen van Gevoeligheid: Geen pijn meer bij eten, drinken of poetsen.
- Esthetische Verbetering: Uw glimlach wordt weer harmonieus, de "lange tanden" zijn verleden tijd.
- Bescherming van de Tandwortel: Verkleint de kans op wortelcariës en verdere slijtage.
- Verbeterd Comfort: Geen ongemak meer door blootliggende tandhalzen.
- Duurzaam Resultaat: Bij goede mondhygiëne en nazorg kan het resultaat langdurig zijn.
Nazorg en Preventie van Verdere Recessie
Na de tandvleescorrectie geven we u duidelijke instructies voor de nazorg om een goede genezing te bevorderen. Essentieel voor het behoud van het resultaat en het voorkomen van nieuwe recessie is:
- Uitstekende Mondhygiëne: Goed, maar voorzichtig poetsen met de juiste techniek en een zachte borstel.
- Regelmatige Controle: Bezoek uw tandarts en/of mondhygiënist volgens afspraak. Ook bij Paro Haarlem kunnen we de nazorg verzorgen.
- Aanpakken van de Oorzaak: Als de recessie bijvoorbeeld door te hard poetsen kwam, is aanpassing van de poetstechniek cruciaal. Bij parodontitis is behandeling hiervan essentieel.
Waarom Kiezen voor Paro Haarlem voor uw Recessie Behandeling?
- Specialistische Expertise: Onze parodontologen zijn gespecialiseerd in complexe tandvleesbehandelingen zoals recessie correcties.
- Ervaring & Precisie: We hebben ruime ervaring met diverse tandvleestransplantatie technieken.
- Persoonlijke Aandacht: We nemen de tijd voor diagnose, uitleg en een behandelplan op maat.
- Moderne Praktijk: Geavanceerde apparatuur en technieken in onze praktijk in Haarlem.
- Focus op Comfort: We streven naar een zo comfortabel mogelijke behandeling.
Veelgestelde Vragen (FAQ) over Recessie Behandeling
- Is een tandvleescorrectie pijnlijk? De ingreep zelf is pijnloos door de verdoving. Na de behandeling kan enige napijn of ongemak optreden, wat goed te beheersen is met pijnstillers.
- Hoe lang duurt de genezing? De initiële genezing duurt enkele weken, maar het kan een aantal maanden duren voordat het tandvlees volledig is uitgerijpt en het definitieve resultaat zichtbaar is.
- Wordt de behandeling vergoed? De vergoeding hangt af van uw aanvullende tandartsverzekering. Wij kunnen u helpen met een begroting die u kunt voorleggen aan uw verzekeraar.
- Is er een alternatief voor een transplantaat van het verhemelte? Soms kunnen alternatieve materialen of technieken worden gebruikt. Dit bespreekt de parodontoloog met u.
Neem Contact Op voor Advies over uw Teruggetrokken Tandvlees in Haarlem
Heeft u last van teruggetrokken tandvlees, blootliggende tandhalzen of gevoelige tanden? Wacht niet langer. Neem contact op met Paro Haarlem voor een deskundig consult bij onze parodontoloog. Wij helpen u graag aan een gezonde en comfortabele glimlach.
➡️ Neem contact op en plan een eerste consult – wij nemen de tijd om uw situatie goed in kaart te brengen.
➡️ Uw vragen over parodontologie helder beantwoord – Raadpleeg onze informatieve FAQ.
Voor![]() | Na![]() |
Voor![]() | Na![]() |






